首页
MRI可以帮助预测多发性硬化症的进展
返回

MRI可以帮助预测多发性硬化症的进展

2022-12-19 科技信息 By:佚名
最佳答案多发性硬化症是一种脱髓鞘疾病,其特征是大脑神经细胞绝缘层受损。多发性硬化症没有已知的治愈方法,长期结果也难以预测。MS是影响中枢神经系统的最常见的免疫介导疾病,全世界有2-250万人患有这种疾病。现在,UCL领导的一项新研究发现,早期MRI扫描可用于预测疾病的进展。预测多发性硬化症的结果非...

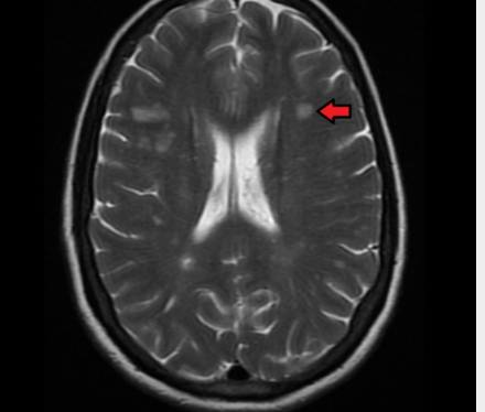
多发性硬化症是一种脱髓鞘疾病,其特征是大脑神经细胞绝缘层受损。多发性硬化症没有已知的治愈方法,长期结果也难以预测。MS是影响中枢神经系统的最常见的免疫介导疾病,全世界有2-250万人患有这种疾病。现在,UCL领导的一项新研究发现,早期MRI扫描可用于预测疾病的进展。

预测多发性硬化症的结果非常困难。女性,尤其是那些早期患MS的女性,通常比男性面临更少的不良后果。据估计,MS患者的预期寿命比健康人短5-10年,但其中40%的人能活到70岁。MRI通常用于诊断疾病,但现在科学家认为它也可用于预测其进展。这可以帮助为每个人创建量身定制的治疗方案。

该研究的作者之一苏珊·科尔哈斯(SusanKohlhaas)博士说:“多发性硬化症会损害您体内的神经,使您难以进行走路、说话、吃饭和思考等日常活动。每个人的情况也不同,目前还没有一致的方法来预测MS可能采取的课程。”

科学家们发现了164名患有临床孤立综合征(CIS)的人,并对他们进行了15年的跟踪调查。CIS患者通常也会继续患有MS。经过15年的研究,科学家们找到了参与者并评估了他们的残疾程度。57%患有复发型多发性硬化症,15%患有继发性进展型,27%仍患有CIS,1%患有其他疾病。研究人员查看了这些人在长期研究期间收集的MRI,发现早期脊髓损伤表明患者更有可能继续发展为继发性进行性多发性硬化症。换句话说,MRI分析允许预测每个参与者未来的残疾水平。

能够准确预测MS的进展极为重要。这有助于制定更有效的治疗计划,而且患者自己也知道他们在不久的将来可以期待什么。大量研究表明,早期强化治疗可带来更好的MS预后。然而,当你不知道会发生什么时,做出这样的决定是很困难的。MRI测试可以帮助使这些预测准确。

MS患者已经在使用MRI进行测试。现在科学家们必须制定指导方针,让医生知道该看什么以及会导致什么特定症状。希望这将帮助全球数百万MS患者。

猜你喜欢
金色的脚印百科(金色的脚印主要内容简)

金色的脚印百科(金色的脚印主要内容简)

12-18 0 阅读
介绍Windows 7恢复系统隐藏文件的两种方法

介绍Windows 7恢复系统隐藏文件的两种方法

12-18 0 阅读
诺基亚c5 01(诺基亚c505(诺基亚C505))

诺基亚c5 01(诺基亚c505(诺基亚C505))

12-18 0 阅读
小米air2se和2s有什么区别(小米2和2s有什么区别(小米2跟2s有什么区别))

小米air2se和2s有什么区别(小米2和2s有什么区别(小米2跟2s有什么区别))

12-19 0 阅读
市本级社保和区社保有什么区别(市本级)

市本级社保和区社保有什么区别(市本级)

12-19 0 阅读
我本将心向明月奈何明月照沟渠这句话是什么意思

我本将心向明月奈何明月照沟渠这句话是什么意思

12-18 0 阅读
热门推荐
钠离子外流属于什么运输方式(钠离子)

钠离子外流属于什么运输方式(钠离子)

12-19 0 阅读
梦幻西游手游表情(梦幻西游新表情)

梦幻西游手游表情(梦幻西游新表情)

12-18 0 阅读
张韶涵演唱会(关于张韶涵演唱会的介绍)

张韶涵演唱会(关于张韶涵演唱会的介绍)

12-19 0 阅读
氢氧化钾的电子式形成过程(氢氧化钾的电子式)

氢氧化钾的电子式形成过程(氢氧化钾的电子式)

12-18 0 阅读
面如土色的近义词和反义词(面如土色的近义词)

面如土色的近义词和反义词(面如土色的近义词)

12-18 0 阅读
琦基u2000(琦基u1000)

琦基u2000(琦基u1000)

12-18 0 阅读
音悦台怎么创建悦单(音悦台怎么打榜?音悦台打榜教程)

音悦台怎么创建悦单(音悦台怎么打榜?音悦台打榜教程)

12-18 0 阅读
苏州红砖价格多少钱一块(红砖价格多少钱一块)

苏州红砖价格多少钱一块(红砖价格多少钱一块)

12-18 0 阅读
厦门律师事务所免费咨询在线(厦门律师事务所免费咨询)

厦门律师事务所免费咨询在线(厦门律师事务所免费咨询)

12-18 0 阅读
大合唱的队形(大合唱队形及动作)

大合唱的队形(大合唱队形及动作)

12-18 0 阅读